Gum health is the foundation for a beautiful smile and long-term preservation of natural teeth.
Maintaining perfect oral hygiene is important for preventing the development of oral mucosal diseases and serious gum problems.
Timely prevention of periodontitis can stop the disease from getting worse and leading to tooth loss.

The specialized field of periodontology in dental medicine deals with the diagnosis, prevention, and treatment of diseases of the gums and supporting structures of the teeth.
The periodontium, also known as the tooth-supporting apparatus, includes the tissues that surround and support the tooth: the gingiva, alveolar bone (alveolus), periodontium, and root cementum. When these tissues are healthy, the teeth are stable and functional. However, when periodontal disease develops, it can lead to serious consequences, including tooth loss.
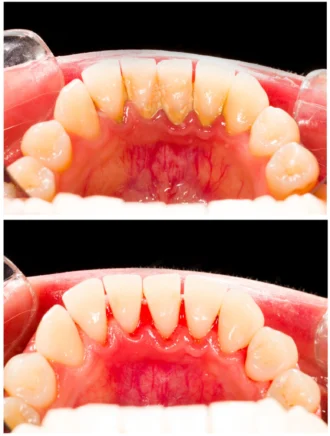
The two main types of gum disease are gingivitis and periodontitis. Gingivitis is the initial inflammation of the gums, usually caused by a buildup of tartar and bacterial plaque.
The main symptoms of gingivitis include redness, swelling, and bleeding of the gums when brushing. If not treated in time, gingivitis can progress to periodontitis, a more serious condition in which the inflammation spreads deeper and affects the bone tissue.
There are many causes of periodontitis, ranging from poor oral hygiene and smoking to infectious diseases. The link between diabetes and gums requires special attention, as diabetes significantly worsens gum health. Hormonal changes and genetic predisposition also play a role. People often use the term periodontitis to refer to advanced periodontitis with significant bone loss.
The expertise and practice of our doctors at Dentatime Clinic are key to the diagnosis, prevention, and treatment of a number of periodontal diseases (the tissues that surround and support the teeth).
Most often these are gingivitis and periodontitis, which are caused by bacteria present in dental plaque that damages periodontal tissues. The main symptoms and complaints that characterize these diseases are primarily related to poor oral hygiene, irregular prophylaxis, and hereditary predisposition.
Symptoms include:
The therapies offered by Dentatime Clinic for periodontal problems are performed using modern imaging diagnostic equipment and the latest generation of ultrasonic and Air Flow powder, air, and water polishing devices.
The main therapeutic procedures applied in these cases are painless and cause minimal discomfort to the patient.а.
In advanced periodontitis, when teeth become loose due to bone loss, teeth splinting is used in practice to provide stabilization without damaging the integrity of the teeth (no filing). This technique is an alternative treatment that helps preserve natural teeth for longer.
The duration of periodontal treatment varies depending on the severity of the disease and the individual characteristics of each patient. Gingivitis treatment usually requires one to two sessions of professional cleaning and polishing, after which symptoms improve significantly within a few days to a week.
However, the treatment of periodontitis is a longer process. If tooth splinting or surgical treatment is necessary, this will add additional time to the overall duration of therapy.
The active phase of treatment is followed by a period of healing and monitoring, which usually lasts about three months. During this time, the patient visits the office for follow-up examinations to assess the tissue response to treatment.
With PRF therapy, the recovery process can be significantly accelerated, with gum health improving more quickly thanks to natural growth factors.
Dentatime Clinic is a leading implantology clinic specializing in the treatment of partial and total tooth loss with basal implants, but our expertise also covers overall gum health and periodontal treatment.
Dr. Radoslav Simeonov is an experienced surgeon and implantologist with more than 25 years of practice in solving complex clinical cases and with a proven personal approach and attention to each patient.
Our team has extensive experience in the treatment of periodontitis and gingivitis, working in accordance with the latest protocols and global standards in periodontology. Our clinic is equipped with the most modern dental technology and equipment to provide our patients with quality dental treatment.
Caring for the health and comfort of our patients is at the heart of our work. Attention to detail, a personal approach, and high-quality, pain-free treatment are the guiding principles of the Dentatime clinic team.
Meet our experienced team and dental practice to find out why our patients choose us as their partner in caring for their gum health and beautiful smile.
Learn more
Periodontitis can be controlled and stabilized with appropriate treatment and regular maintenance therapy, but complete reversal of bone loss is only possible to a limited extent. The key is early diagnosis and consistent treatment.
The modern periodontal treatment techniques we use at Dentatime Clinic are painless and cause minimal discomfort. If necessary, we use local anesthesia to ensure complete patient comfort.
Perfect oral hygiene (regular brushing twice a day, use of dental floss and interdental brushes), healthy eating, not smoking, and regular preventive check-ups are the most effective methods for preventing periodontitis and maintaining gum health.
Get your smile back with new generation implants
Call now – our team will discuss the most suitable solution with you.
(+359) 892 600 602